Địa chỉ phòng khám:
Số 116 nhà H2 phố Thành Công, Ba Đình, Hà Nội,Trẻ thường hay viêm tai vào lứa tuổi nào nhất

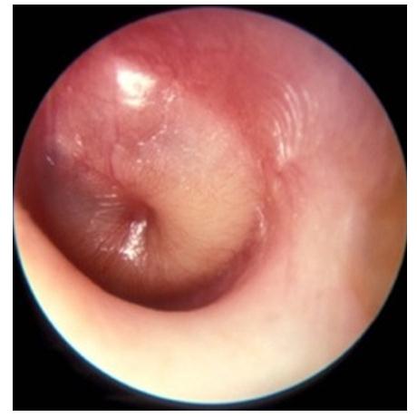
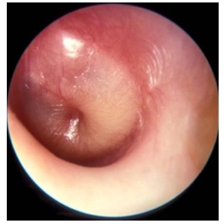
Viêm tai giữa là một bệnh gặp mọi lứa tuổi, nhưng hay gặp nhất là ở trẻ nhỏ. Đặc biệt trẻ nhỏ dưới 3 tuổi.
Ở trẻ nhỏ vòi tai chưa hoàn thiện như ở người lớn. Vòi nhĩ ở trẻ vừa ngắn, lại nằm ngang ( chếch 15 độ) vừa to lại mở suốt ngày. Chính vì vậy tác nhân gây bệnh dễ sâm nhậm vào vòi tai, lên tai giữa gây viêm tai giữa.
Trong quá trình phát triển của trẻ, vòi nhĩ càng ngày càng dài ra, chếch cao dần đến người trưởng thành chếch 45 độ, thời gian mở vòi nhĩ ở trẻ càng lớn vòi nhĩ càng mở ít dần đến 5-6 tuổi thì vòi nhĩ đóng suốt ngày, chỉ mở khi nhai, ngáp, nuốt. Chính vì vậy viêm tai giữa hay gặp ở trẻ nhỏ hơn trẻ lớn. ở người lớn ít gặp hơn.
Tư vấn bệnh TMH và phẫu thuật thẩm mỹ mũi miễn phí 24/7. Qua zalo, viber, messenger, hotline
Hotline: 0988389990 Email: phantmh@gmail.com